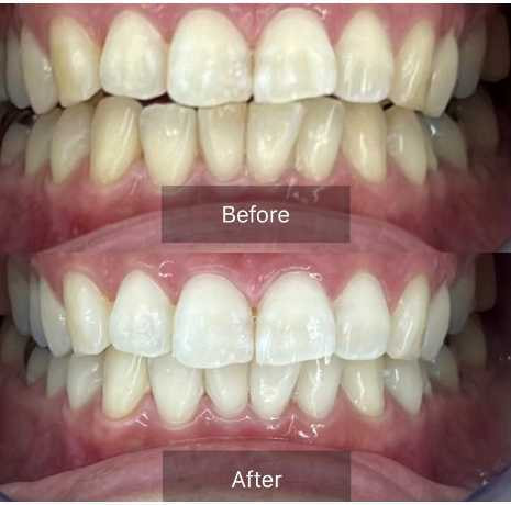
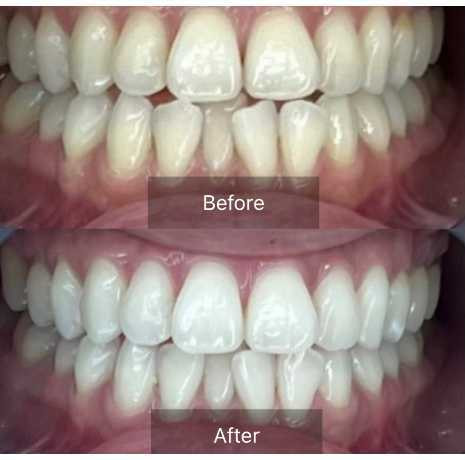
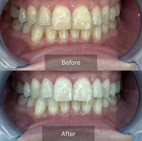
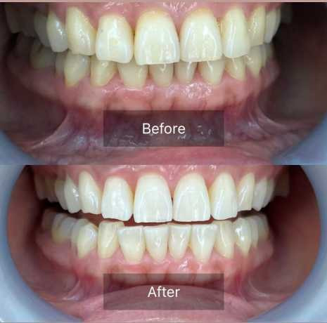
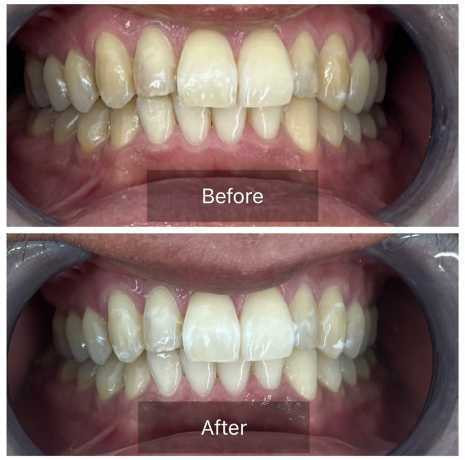
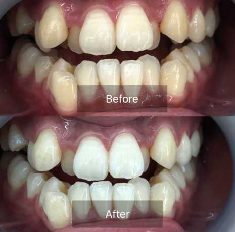
Before & After
ホワイトニングは個人差がございます。
お客様に合った回数、頻度を歯科衛生士歴20年の私がご提案させていただきます。
※効果には個人差があります。

20代/女性 5回施術

40代/女性 3回施術

30代/女性 5回施術

40代/女性 5回施術

40代/女性 5回施術

40代/女性 4回施術

30代/女性 3回施術

18歳/女性 2回施術

40代/女性 5回施術

30代/男性 3回施術

20代/女性 1回施術
ご予約・お問い合わせ
ご予約はホットペッパービューティー、お電話で承ります。
お問い合わせはLINEお友達追加後、メッセージをお送りください。
営業時間のご案内
神戸市灘区永手町3丁目4-14 六甲道ビル 3F
JR神戸線 六甲道駅より徒歩2分
営業時間 | 月 | 火 | 水 | 木 | 金 | 土 | 日・祝 |
---|---|---|---|---|---|---|---|
8:30-18:30 | ◯ | ◯ | ◯ | ◯ | ◯ | × | × |

※最終受付:17時
ホワイトニングサロン エクラ
神戸市灘区永手町3丁目4-14 六甲道ビル 3F
神戸市灘区永手町3丁目4-14 六甲道ビル 3F
Copyright©eclat. All Rights Reserved.